A 70-year-old female presented to our ED in cardiac arrest. On arrival, medics reported that the patient was in her bed when her husband witnessed her fall out of bed. When medics arrived the patient had agonal respirations. No pulses were felt, and the initial rhythm was pulseless electrical activity (PEA). Compressions were initiated via the Lucas device and the patient was orotracheally intubated by medics. In the pre-hospital setting, she received 3 rounds of epinephrine. On one of the pulse checks, she was in ventricular fibrillation and was defibrillated. Despite these efforts, the patient still was still in arrest on arrival to the ED.
The medics also noted that she was about one week post-operative from “some sort of abdominal surgery for gastric cancer.”
On arrival, she had positive ET CO2 from the ET tube. The Lucas device was paused, and a pulse check was performed in conjunction with a cardiac ultrasound. We believe that pulse checks are consistently unreliable, and therefore, we always use ultrasound with every pulse check. Here is what was seen:
The patient has a slow heart rate and poor cardiac contractility. No pulse was being generated from this cardiac output. On this view, her right ventricle is seen at the top and looks quite dilated compared to the left ventricle.
Sliding signs were quickly performed during the pulse check to make sure that the cause of her PEA arrest was not a tension pneumothorax and to make sure that there was not a mainstem intubation. See below:
Sliding signs are present bilaterally with an A-line predominance.
Compressions were resumed and the patient was given another round of epinephrine.
The providers taking care of the patient felt like a pulmonary embolism was likely to have caused the arrest given that she was recently post-op, had a presenting rhythm of PEA, and had a dilated RV. Here are a few more images of the dilated RV taken while compressions were being delivered:
After a few more rounds of ACLS medications, she still had not regained pulses, so the providers decided to give 100 mg TPA for presumed massive PE. This decision was not taken lightly because the patient was only about a week out from an abdominal surgery, and the risk of bleeding seemed high. The patient, however, was in arrest, and the physicians felt that the potential benefit out-weighed the risk.
Here is what was seen on the next pulse check after the TPA was given:
You can see that the RV is still dilated, but now there is hyperdynamic LV function. This rhythm did generate a pulse and compressions were stopped.
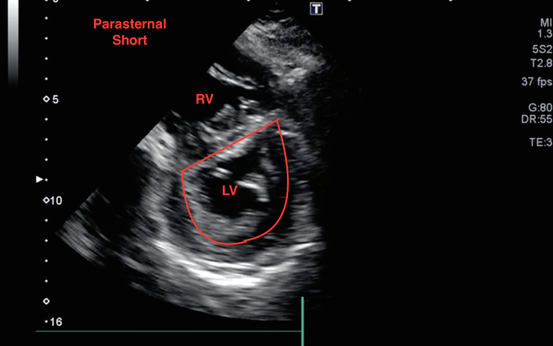
Here is a parasternal short view:
This is an impressive view because a d-sign is appreciated. A d-sign is an indication that the right-sided ventricular pressures are higher than the left ventricular pressures causing septal bowing. Wonder why it is called a d-sign? See below:
After a number of minutes, she started to become hypotensive. IVFs were hung on pressure bags, and she was given push-dose epinephrine. Stat hemoglobin came back at 5.0. A FAST exam was then performed. Here is the RUQ view:
A small amount of free fluid is seen at the tip of the liver.
Here is a LUQ view:
There is a large amount of free fluid surrounding the spleen.
The hypotension was thought to be secondary to hemorrhage given the large amount of free fluid and hemoglobin of 5.0. The patient’s husband was present for most of the resuscitative efforts, and the findings were discussed with him. The decision was then made to cease further efforts at resuscitation.
An autopsy was performed, which showed multiple bilateral pulmonary emboli. There was also approximately 3L of hemoperitoneum.
Bottom Line:
- Ultrasound should be used in conjunction with pulse checks during cardiac arrests as pulses are reliably unreliable.
- Beside ultrasound can rapidly evaluate for different causes of PEA arrest (e.g, PE, pneumothorax, tamponade, trauma).
