by Andie Rowland-Fisher | Aug 22, 2015 | Artifact, Gall Bladder
Shadowing when ultrasounding the gallbladder is not always from gallstones…
by Andie Rowland-Fisher | Jun 11, 2015 | Gall Bladder, Liver
A RUQ ultrasound revealed an unexpected finding in a male with diffuse abdominal pain.
by Andie Rowland-Fisher | Jun 4, 2015 | Artifact, Gall Bladder
Another case of RUQ pain, but can you identify the two abnormalities seen in this gallbladder?
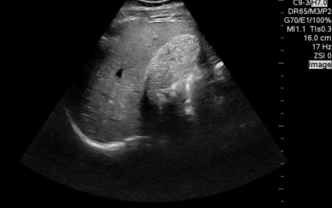
by Andie Rowland-Fisher | Apr 6, 2015 | Gall Bladder
A 40-year-old male presented to the ED with 4 days of right upper quadrant pain. The pain came on acutely 4 days ago while eating and had been constant since then. He endorsed nausea, but denied vomiting, diarrhea, and fever. He had never had pain like this before....