A 32-year-old female presented to our ED with lower abdominal pain. She reported that the pain started 4 days ago when she had an intrauterine device (IUD) placed. The pain was suprapubic and had progressively worsened since the day of the procedure. She denied dysuria or frequency. She did report a small amount of vaginal bleeding, however.

 

Initial VS: BP 112/70, P 91, T 36.6 °C (97.9 °F), RR 18, SpO2 97% on RA

 

Physical exam revealed a soft abdomen with suprapubic tenderness. Pelvic exam revealed cervical motion tenderness, and the strings of the IUD were visualized coming out of the cervix.

 

UA was normal. UPT was negative.

 

A transabdominal pelvic ultrasound was performed, seen below:

 

 

What do you see?

 

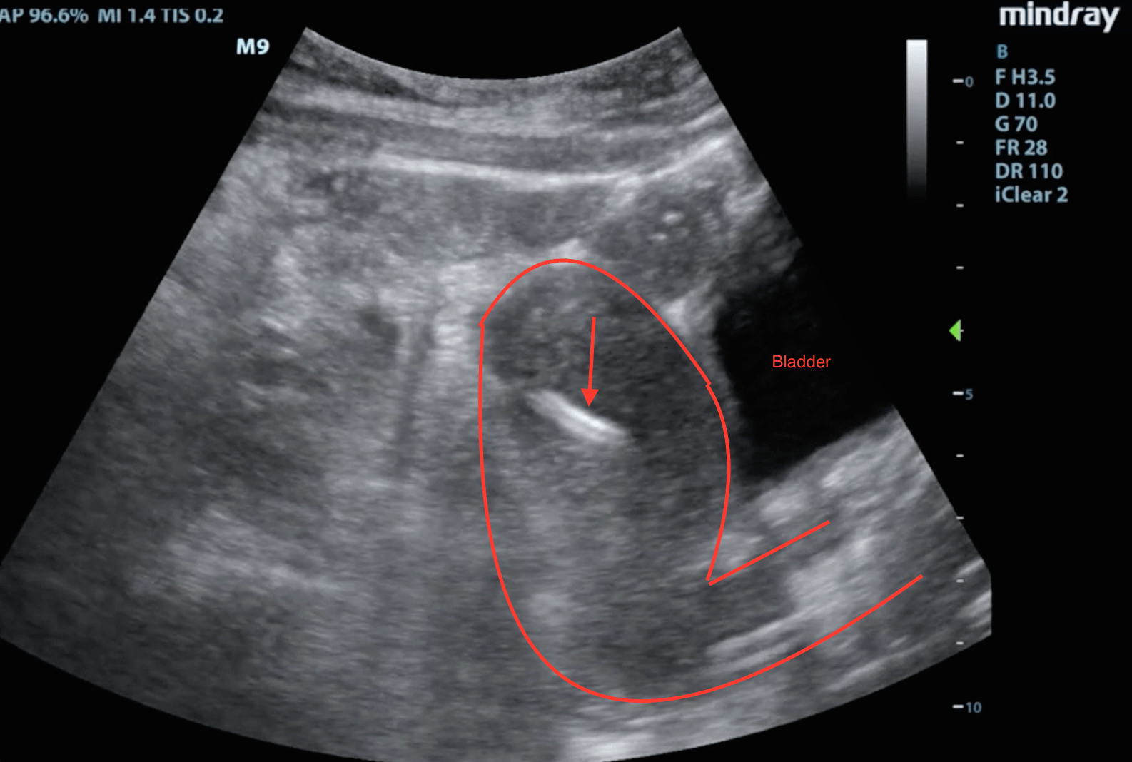
The uterus is anteverted. Notice how it points anteriorly. You can see the IUD in the clip, but it does not appear to be in the correct location. Normally an IUD will be seen sitting within the endometrial stripe. This IUD looks like it is going through the myometrium. Here is a still shot of where a normal IUD should sit:

The arrow in this picture is pointing to the endometrial stripe. The uterus and vaginal canal are outlined in red.

 

Here is a still shot of our patient:

The arrow is pointing to the IUD which clearly invades the myometrium.

 

The patient was diagnosed with uterine perforation from her IUD. The incidence of this complication is thought to be about 1 per 1000 placements. OB/GYN went on to see her in the ED and pulled out her IUD though her cervix in the normal fashion. She was then discharged from the ED without any specific treatment.

 

The patient was doing well at follow-up and was started on an OCP.

 

Bottom Line: Ultrasound is the first line imaging modality to evaluate and diagnose displacement of an IUD. If ultrasound is not available or the IUD is not seen on ultrasound, abdominal XR can then be used.

 

 

References

WHO. Mechanism of action, safety and efficacy of intrauterine devices. Report of a WHO Scientific Group. World Health Organ Tech Rep Ser. 1987;753:1-91
Hennepin Ultrasound Logo

New Post Notifications

Join our mailing list to receive email notification of new posts!

You have Successfully Subscribed!