A 30-year-old female presented to our ED with complaints of one week of lower abdominal cramping. She was seen in clinic a few days prior and had a positive UPT. Her LMP was about one month ago. She denied vaginal bleeding or discharge. She denied dysuria and frequency.

 

Initial VS: BP 112/67, HR 75, T 36.7 °C (98.1 °F), RR 16, SpO2 99%

 

Physical revealed a soft, non-tender, and not distended abdomen. Pelvic exam revealed a mild amount of white vaginal discharge, no cervical motion tenderness, and a closed cervix.

 

A bedside transvaginal ultrasound was performed in the ED to try and confirm an IUP. Here are the images in the longitudinal plane:

 

 

The uterus is retroverted. We know this because it is coming in from the left side of the screen and pointing down. You can see that there are two distinct fluid collections within the uterus. One is round and looks like a gestational sac. The other seems to surround the gestational sac. What do you think this fluid is?

 

Here are a few transverse views of the gestational sac and the extra fluid collection:

 

 

To understand what the fluid is, you need to have a basic understanding of which structures the fluid is located between. A normal gestation will embed in the endometrial cavity. The chorion will be the outermost layer of the gestational sac that comes into contact with the endometrium.

 

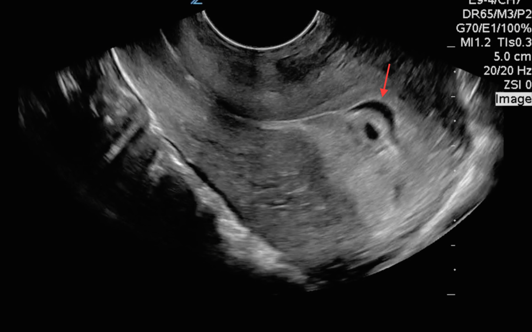
The fluid that is seen is between the endometrium and the chorion. This is known as a subchorionic hemorrhage. Here is a picture pointing out the hemorrhage:

 

Subchorionic hemorrhages are not an uncommon finding in early pregnancies, however, they do increase the risk of miscarriage. As the size of the hemorrhage increases, so does the risk of miscarriage.

 

Despite this subchorionic hemorrhage being quite large compared to the gestational sac, this patient did well, and at follow-up, the subchorionic hemorrhage was not visible anymore.

 

Bottom Line:

  1. Fluid between the endometrium and chorion is called a subchorionic hemorrhage.
  2. Subchorionic hemorrhages do increase the risk of miscarriage in early pregnancy, especially when they are large.
Hennepin Ultrasound Logo

New Post Notifications

Join our mailing list to receive email notification of new posts!

You have Successfully Subscribed!